销售服务热线
0574-62101882
罗伯特·休伊赞佳医生(Robert Huizenga)这个名字,对于国内的读者或许比较陌生,但是在美国,这位内科医生的名号可谓无人不晓。休伊赞佳医生出生自一个科研世家,他的父亲约翰·休伊赞佳博士(John Huizenga)是美国科学院院士,曾在曼哈顿计划和之后的氢弹研发中扮演重要角色[1]。
休伊赞佳医生在哈佛大学医学院取得医学博士学位后,成为了多位好莱坞明星、NBA著名运动员的“御用医生”。借由这些关系,他时常被美国各大媒体邀请,以医学专家的身份对时事做出评论,凭借着自己敢于揭露媒体炒作和造假行为的人格形象,休伊赞佳医生被民众敬称为“H医生”。

休伊赞佳医生做客美国著名电视节目《The Dr.Oz Show》
2020年4月20日,H医生与全美最顶尖的非营利性医院,西达塞纳医学中心(Cedars-Sinai Medical Center)共同发表了一篇病例报告,他们发现,基于口服NMN的治疗方案,能显著改善新冠肺炎患者体内出现的细胞因子风暴。由于细胞因子风暴是新冠肺炎最主要的致死原因,H医生以此文呼吁科学界,尽快正视并重视NMN作为新冠肺炎治疗方案的潜力[2]。

这篇病例报告完成并公布于2020年4月20日
患者是一位55岁的白人女性,因为出现咳嗽和发热症状,于2020年3月16日前往一家当地医院就诊。该患者新冠病毒(SARS-CoV-2)检测结果为阳性,医护人员将她确诊为新冠肺炎,并展开治疗。

患者的新冠病毒检测结果
患者的病情恶化迅速,入院后第7天开始出现难以忍受的胸痛,气短。第11天,患者血氧量降至90,体温提升至39.4°C(103°F),气短症状进一步恶化,胸腔X光开始出现异常。
由于病情恶化过快,普通医院已无法处理,患者被转院至代表美国最高医疗水平的西达塞纳医学中心进行进一步治疗。转院后,医护人员检测了患者的各项体征指标,数据显示,患者体内出现了绝对性淋巴细胞减少(490cells/μL),多项炎症相关指标提升幅度惊人。(C反应蛋白:217mg/L、Il-6:56 pg/mL、TNF-alpha:7.4ng/mL)。胸腔X光显示出极严重的双侧肺浸润。

患者肺部出现严重的双侧肺浸润(左),右图为正常肺部X光,供参考
基于这些数据,医护人员认为,患者病情急速恶化的原因是新冠病毒感染引发的细胞因子风暴,并对患者进行了目前最先进的“三重疗法”(triple therapy),但是治疗并没有表现出任何成效。
考虑到患者症状的严重程度,医护人员认为,使用常规治疗手段已经没有意义,所以建议使用一种尚处于实验阶段的新冠肺炎治疗药物,托珠单抗(Tocilizumab)。但是院方出于安全因素等多种考虑,最终没有批准这一偏激的治疗方案。
随后,医护人员提出尝试使用NMN鸡尾酒疗法进行治疗。NMN作为治疗新冠肺炎的药物,虽然还处于初期试验阶段,但是由于其降低Il-6等炎症指标的能力,已经有了足够充分的理论支持,安全性也已经得到了临床I期和II期的数据验证,在与患者协商后,院方批准了这一治疗方案。

医护人员为患者设计的NMN鸡尾酒疗法应用方案
NMN鸡尾酒疗法以NMN为主药剂,配合甜菜碱(betaine)、硫酸锌和氯化钠溶液一同口服使用。用药后的第二天,患者体温开始下降;五天后,多种临床症状和炎症相关指标开始恢复;七天后,体征大幅好转,并被允许出院,回家通过继续服药进行治疗;十天后,新冠病毒检测呈阴性,C反应蛋白(7.4217mg/L)和Il-6(3.2 pg/mL)等炎症指标基本恢复正常;十三天后,各项体征全部达到健康水平,胸腔X光也无异样,该患者自此从新冠肺炎中完全康复。

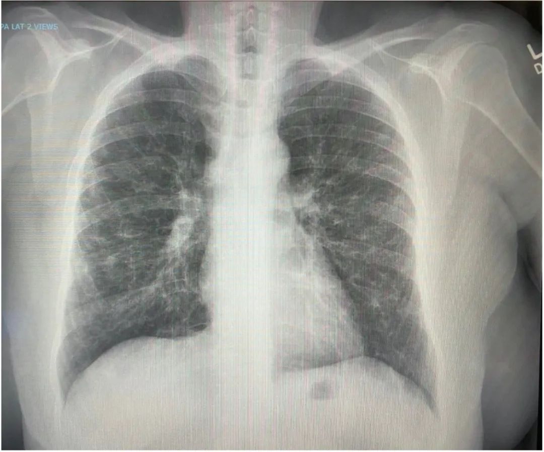
患者接受NMN鸡尾酒疗法后的肺腔X光,双侧肺浸润明显好转
西达塞纳医学中心在这一病例后,又对两名老年患者使用过NMN鸡尾酒疗法,两位老人的症状均表现出明显好转,目前正在继续留院观察。
H医生作为此病例的参与人员提出,NMN良好的抗炎能力,使得它可以被用于缓解由新冠病毒感染引起的细胞因子风暴,进而成为一种可行之有效的新冠肺炎治疗手段。H医生认为这一病例充分的表现了NMN对于新冠肺炎的治疗潜力,科学界应当尽快重视起这一NAD+补充剂的临床应用意义。
参考文献
[1].Bauer, Patricia. “John Robert Huizenga.” Encyclopædia Britannica, Encyclopædia Britannica, Inc., 17 Apr. 2020, www.britannica.com/biography/John-Robert-Huizenga.
[2].Huizenga, Robert, Dramatic Cytokine Storm Reversal with an Over the Counter NMN Cocktail (April 20, 2020). Available at SSRN: https://ssrn.com/abstract=3581388